

Dentist in Marina del Rey - 30+ Years Tradition of Excellence
At Yeo Family Dental Group, Dr. Jamie Yeo, DDS, and Dr. Rosita Tan, DMD, bring over 30 years of experience to dental imaging. They use state-of-the-art digital X-ray technology to provide accurate diagnoses with minimal radiation exposure. Their empathetic approach ensures you feel comfortable and informed throughout the process.
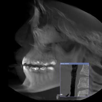
Dental X-Rays at a Glance

Dental X-rays are diagnostic tools that create detailed images of your teeth, gums, and jaw. Dr. Yeo and Dr. Tan use these images to detect issues invisible to the naked eye, such as cavities between teeth, bone loss and impacted wisdom teeth. At Yeo Family Dental Group, we offer digital X-rays and advanced Cone Beam CT scans to provide comprehensive care tailored to your needs.

We know that with your busy schedules, you want to get as much done in one place as possible. We offer in-office digital X-rays for your convenience. Digital X-rays are computer-generated images. These images require up to 90% less radiation than with conventional film-type X-rays. Instead of using the traditional silver-oxide x-ray film that must be developed & then fixed in caustic & environmentally damaging solutions, the new system takes pictures via a small electronic sensor & instantaneously transmits a picture of the tooth onto the video monitor in the treatment room. Therefore, we can see your teeth & surrounding structures immediately. Feel free to contact us for more details, or to make an appointment!
Dental CBCT images provide three-dimensional (3-D) information rather than the two-dimensional (2-D) information provided by a conventional X-ray image. This may help with the diagnosis, treatment planning, and evaluation of certain conditions.
During a cone beam CT examination, the C-arm or gantry rotates around the head in a complete 360-degree rotation while capturing multiple images from different angles that are reconstructed to create a single 3-D image. The X-ray source and detector are mounted on opposite sides of the revolving C-arm or gantry and rotate in unison. In a single rotation, the detector can generate anywhere between 150 to 200 high-resolution two-dimensional (2-D) images, which are then digitally combined to form a 3-D image that can provide your dentist or oral surgeon with valuable information about your oral and craniofacial health.
Although the radiation doses from dental CBCT exams are generally lower than other CT exams, dental CBCT exams typically deliver more radiation than conventional dental X-ray exams. However, the dose is significantly lower than a full mouth series of X-rays. A Cone Beam CT Scan is equivalent to 7 days of background radiation, whereas a full mouth series of conventional dental X-rays is 21 days.
Our Marina Del Rey radiology specialists provide Dental X-rays to help diagnose and treat:
Dr. Yeo and Dr. Tan's expertise in interpreting these images ensures accurate diagnoses and effective treatment plans.

Choosing radiology in Marina Del Rey at Yeo Family Dental Group offers numerous advantages:
Dr. Yeo and Dr. Tan use these benefits to provide the most comprehensive and personalized dental care possible.

Most patients benefit from regular dental X-rays as part of their preventive care. Dr. Yeo and Dr. Tan recommend X-rays based on your individual needs, considering factors like age, oral health history, and risk for dental disease. They take special precautions for pregnant patients or those with certain medical conditions, always prioritizing your safety and well-being.
The frequency depends on your individual oral health needs. Dr. Yeo and Dr. Tan will recommend a schedule based on your specific situation, typically ranging from once a year to once every few years for healthy adults.
Dental X-rays are very safe, especially with our low-radiation digital technology. Dr. Yeo and Dr. Tan use protective measures and only take X-rays when necessary to ensure your safety.
Children often need X-rays to monitor tooth development and detect early issues. Dr. Yeo and Dr. Tan are experienced in making the process comfortable and safe for young patients.
Not at all! The process is completely painless. You might feel slight discomfort from holding the sensor in your mouth, but Dr. Yeo and Dr. Tan work quickly to minimize any inconvenience.
